ブログを更新しました!
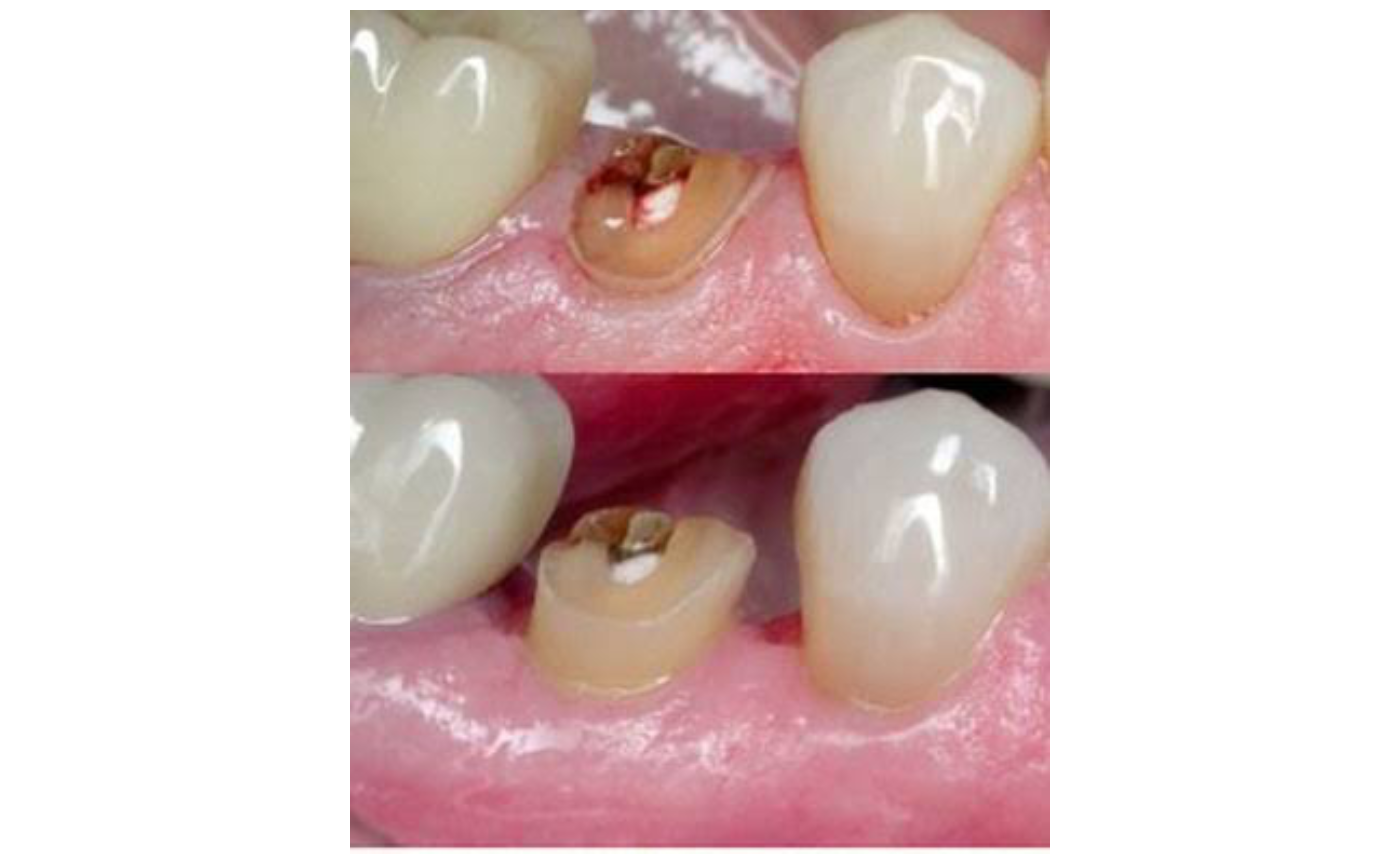
重度に進行したむし歯も、がんばって治療すれば残せることもあります。
『重度に進行したむし歯C4の治療方法②』
https://www.yobo.dental/notice/post-39/

2022/02/12 17:46
重度に進行したむし歯C4の治療方法②
4リアクション
このブログは
メンバー投稿記事
ですメンバー登録すると、限定記事の閲覧やメンバー同士の交流、限定イベントへの参加などができます。
岩田松雄リーダーシップスクール
岩田松雄リーダーシップスクールは、あなたが真のリーダーへと成長するために、オンラインとリアルを融合したあたらしい形の「リーダーシップの本質を学ぶためのメンバー参加型コミュニティ」です。
詳細を見るコミュニティメンバー
¥11,000/月(税込)
毎日のリーダーへの質問(コーチング課題) 月一回の岩田松雄によるリアル講義(月例会) 会員限定イベントへの参加 オンライングループの利用・交流もっとみる閉じる
毎日のリーダーへの質問(コーチング課題)
月一回の岩田松雄によるリアル講義(月例会)
会員限定イベントへの参加
オンライングループの利用・交流
4リアクション
メンバーの方はこちらからログイン